猫咪为何一直蹭人还叫唤,可能是正在发情等原因所导致
一、猫咪为何一直蹭人还叫唤1、猫咪一直叫唤可能是发情了。猫咪在七个月至八个月左右就会达到性成熟,品种不同可能有些猫咪到一岁左右,出现首次发情,发情时母猫会出现频繁的哇呜叫声,变得特别黏人,喜欢到处蹭,喜欢主人抚摸。2、如...
01-26

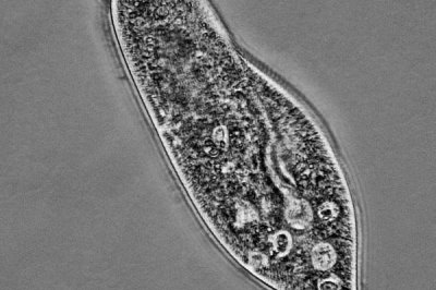
1、无性生殖
横二分裂(指无性繁殖中单细胞沿着横轴分裂繁殖)为草履虫的无性生殖方法,小核先进行有丝分裂,然后大核会进行无丝分裂,接着虫体中部横溢,分成2个新个体。

2、有性生殖
(1)2个草履虫的口沟相接,细胞膜互相融合并交换小核中的部分遗传信息,然后开始进行接合生殖。
(2)每个个体内的小核各进行1次减数分裂,之后形成单倍体小核,数量多为4个。
(3)每个个体4个小核中的3个消失,剩下的小核分裂为1个较小的雄核与1个较大的雌核,大核同步消失。
(4)2个接合的个体交换雄核,并与对方的雌核融合,之后虫体开始分离。

(5)每个个体融合而来的新核进行3次分裂,并且会各自形成4个新大核、4个新小核。
(6)4个新小核中的3个消失,小核与细胞质进行分裂,大核不再分裂。
(7)小核与细胞质进行2次分裂后,每个个体再次形成4个新个体,共产生8个新个体。

草履虫是动物。草履虫是一种身体非常小,圆筒形的原生动物,它只由一个细胞构成,是单细胞原生动物,雌雄同体。
标签: 草履虫如何繁殖丨草履虫是动物还是植物
相关文章
一、猫咪为何一直蹭人还叫唤1、猫咪一直叫唤可能是发情了。猫咪在七个月至八个月左右就会达到性成熟,品种不同可能有些猫咪到一岁左右,出现首次发情,发情时母猫会出现频繁的哇呜叫声,变得特别黏人,喜欢到处蹭,喜欢主人抚摸。2、如...
01-26
一、诱蜂桶放在什么位置合适1、蜂群条件:诱蜂桶要放在附近有野生蜂群活动的地方,否则诱蜂桶放烂了都诱不到蜂,最简单的方法是观察蜜蜂的采蜜情况,若有蜜蜂在采蜜且附近没有人养蜂则表明有野生蜂群可诱。2、蜜源条件:诱蜂桶要放在蜜...
01-17
一、温室大棚蔬菜灭虫方法1、用药要求(1)不在阴雨天喷药,不在湿度大的环境下喷药,会降低药效,可以通风后喷药。(2)不在温度高时候用药, 容易发生药害,交替用药,不长时间使用同一种药剂,不使用毒性强,残留药物。(3)不使...
03-08
一、花生麸怎么发酵1、方式(1)首先将稀释好的发粪宝,均匀的喷洒在准备发酵的有机物料上拌匀。(2)接着将混合好的花生麸堆垛高0.5-1m,宽2m,长2-4m以上待发酵。(3)堆垛后,待升温至50℃以上时,进行首次翻倒,以...
01-13
一、蒜苗和蒜黄的区别1、蒜苗(1)是大蒜幼苗发育到一定时期的青苗,是利用蒜头或者蒜瓣经过见光培育而成的绿化了的健壮青苗。(2)从外观上来看,它的色泽鲜绿,摸起来的质地会比较脆嫩一些。(3)在食用方式上,蒜苗通常都会被当作...
03-21
一、钓鲫鱼黑漂的原因1、大鲫鱼吃饵钓离底或钓浮时大鲫鱼吃饵容易出现黑漂,原因是大鲫鱼吸食饵料对线组产生的下拉力比较大,浮漂可能会出现有力的下顿后没入水中,也可能直接出现黑漂。2、线组过灵敏钓鲫鱼时若线组调得太灵敏容易出现...
12-08
一、母猪不进食没精神而且不发烧如何处理1、母畜太保拌料(1)造成母猪体质虚弱的原因有非常多,如长时间的霉菌毒素中毒、长时间的营养不良等。(2)此时可以先打针让母猪开口吃东西,然后再投药调理。可以打头孢+黄芪多糖,等母猪开...
12-11
一、石榴软籽还是硬籽好1、通常选石榴时,建议选择软籽,由于软籽石榴的汁水非常多而且口感也很甜,而硬籽石榴的口感为酸甜,多数情况下酸味较重,甜味较少,所以可以选择更甜一些的软籽石榴。2、一般可以将石榴放在冰箱中保存,由于石...
03-18
一、菠菜会开花吗1、菠菜是一种草本植物,又被叫做波斯菜、鹦鹉菜等。我们一般食用的都是菠菜的叶子,但在个别情况下,菠菜也是会开花的。2、首先在种植前要挑选好的品种,品种的好坏会影响植株的生长状态。在种植菠菜时,要注意植对株...
10-25
一、活蟹怎么保存时间长1、活蟹想要长时间保存,通常用水养起来比较好,但如果是海蟹的话,需要用盐度适宜的水才行,而且还要给它一直充氧,以免氧气不足导致死亡。2、除此之外,还可以用冰箱保存螃蟹,但一定要是活的,死蟹放到冰箱里...
10-16
热点文章
Z999玉米种子产量特性,中抗茎腐病
山瑞鳖简介,是常见的一种甲鱼
马铃薯早疫病和晚疫病的区别,病斑颜色和纹理特征均不同
TT66玉米种简介,中抗茎腐病
沪甜16玉米种子特征介绍,鲜食甜玉米品种
鼎禾988玉米种简介,适宜在肥力中上等的地块种植
西瓜新品种有哪些,有黑武士、春风、巧玲等
夏季能钓大板鲫吗,夏季可以钓大板鲫